
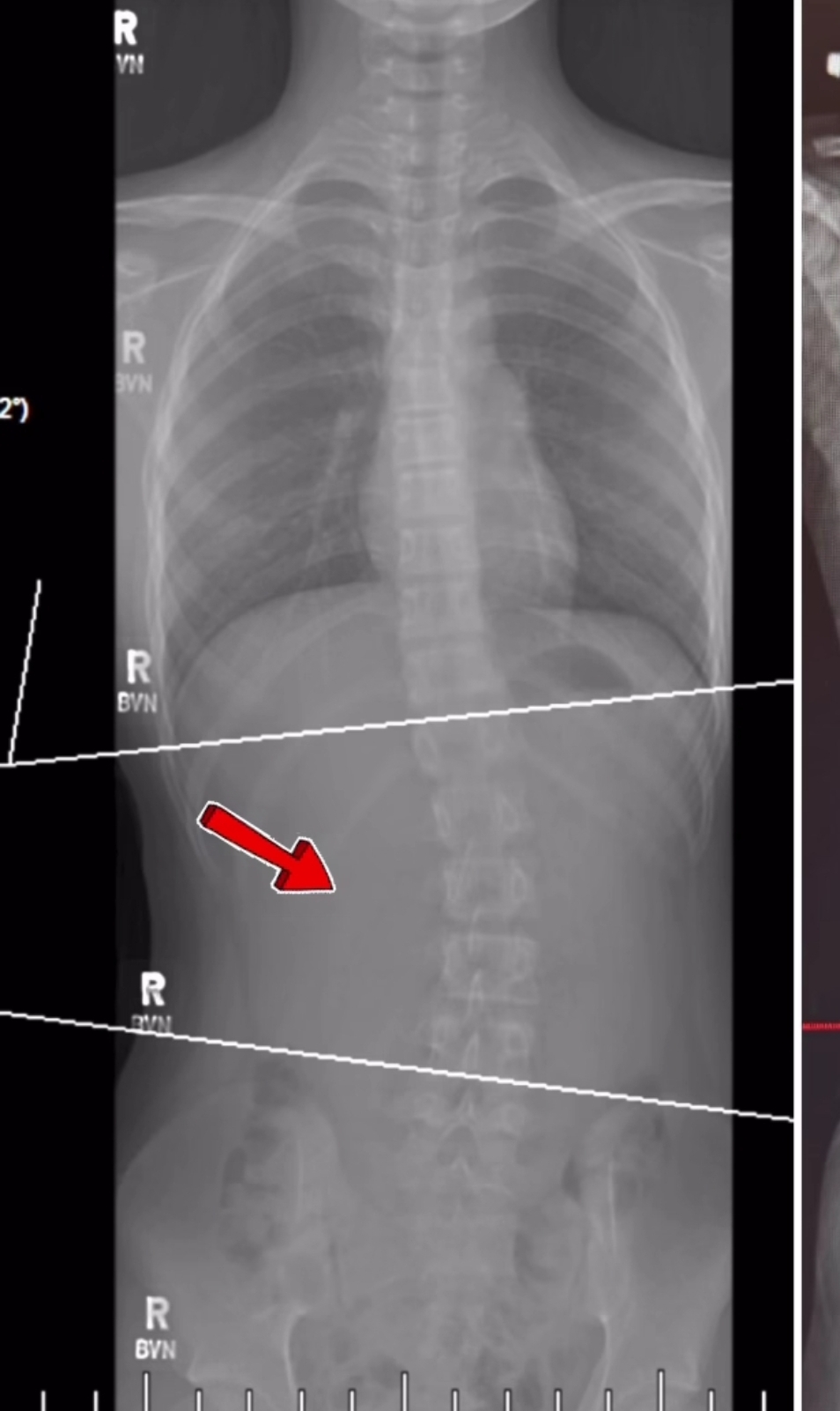
이 엑스레이 사진을 보고 이렇게 말합니다.
척추가 휘었네
결과적으로 척추가 휘었어요
뼈를 다시 펴야하나요?
수술이 필요한가요?
진실은 이렇습니다.
근육이 한쪽이 짧은 겁니다. 근육이 굳어서 짧아진 겁니다.
근육을 풀어주어 자세를 유지하도록 하면 됩니다
www.spinomed.info
허리골절 | Spinomed | 대한민국
Spinomed, 골다공증성 허리골절, 요추골절, 흉추골절, 척추압박골절, 보존적치료를 위한 스피노메드. 독일제조, 독일직수입, 독일 의사 개발, 20주년, 임상논문 효과성 입증
www.spinomed.info